Porcelain Veneers in Winston-Salem
One aspect of dentistry our team loves is changing lives! Today's busy world demands a lot, and appearance is essential. So when you have a smile that makes you feel confident, it can be life-changing, especially if you've lived with cosmetic concerns in the past, like chipped or discolored teeth.
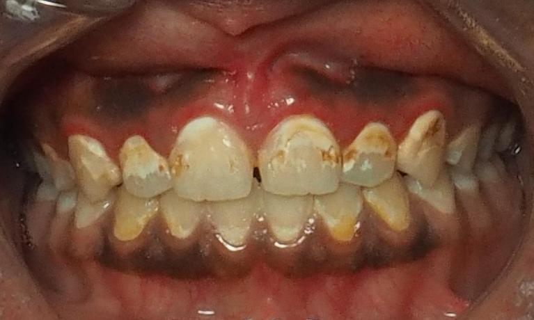
Even a tiny chip in your tooth can cause you to feel self-conscious about your teeth. However, if you have aspects of your smile that you're unhappy with, porcelain veneers may be able to repair your teeth and give you the stunning smile and confidence we believe every patient deserves.
What Are Porcelain Veneers?
Dental veneers in Winston Salem are thin sheets of porcelain that our dentists customize to fit seamlessly over the surface of your teeth and cover cosmetic imperfections. Some of the smile problems veneers can cover are:
- Broken or chipped teeth
- Spaces or gaps between teeth
- Stains or discoloration
- Slight tooth misalignment
- Oddly shaped teeth
- Excessively wear
It's never too late to have the beautiful smile you want, and it's more accessible now than ever before. Our dentists use veneers to repair single teeth, but they are particularly effective for restoring multiple teeth for a complete smile redesign. Think "Hollywood" smile!
 
 
 
 
