Dental Crowns in Winston-Salem, NC
 What Is a Dental Crown?
What Is a Dental Crown?
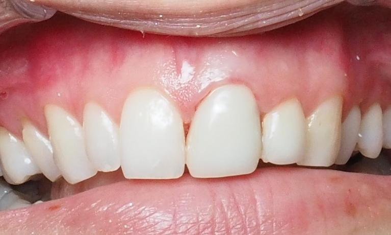
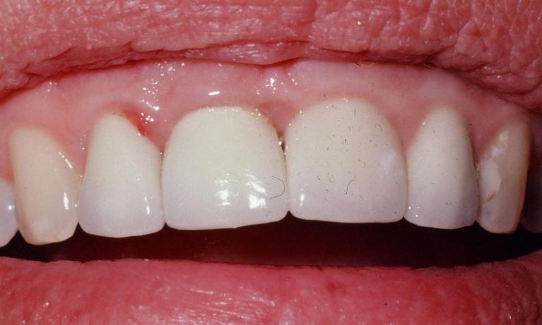
A dental crown is a protective covering or "cap" that covers the entire tooth. Dental crowns can make teeth stronger and replace any missing tooth structure.
When Are Dental Crowns a Great Option for You?
- When a back tooth is cracked
- When a tooth has large areas of decay or cavities
- When a front tooth has a large chip in it
- To protect a tooth after root canal treatment
What Do Crowns Do for You as a Patient?
Crowns are predictable and reliable. If Dr. Nelson recommends a crown for one of your teeth, that treatment option is the most predictable and longest-lasting choice for that tooth.
They are made from the strongest materials. Crowns cover the entire chewing surface of the tooth with a solid material that is highly resistant to fracture or chipping. This means you can enjoy your favorite foods without worry.
Our dental crowns are very esthetic. Dental crowns are also very esthetic and are indistinguishable  from other natural teeth. They are also more resistant to staining, allowing you to smile confidently.
from other natural teeth. They are also more resistant to staining, allowing you to smile confidently.
They feel just like your natural tooth. Dental crowns feel the same to your tongue and lips because they replicate the natural anatomy of your natural tooth.
Crowns are maintained just like your natural teeth. Brushing and flossing are performed in the same manner as with natural teeth.
Crowns protect from future decay. The tooth is much more resistant to dental decay and cavities because the crown material cannot be decayed by bacteria.
 
 

 fillings.
 fillings. 
 
 
 
 
 
 
