Blake Nelson, DDS

Porcelain Dental Crowns

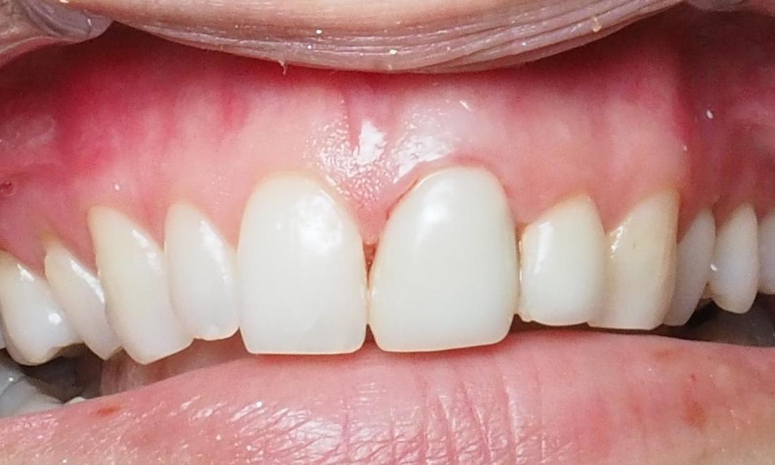
We use porcelain dental crowns in Winston-Salem for a variety of reasons. We can customize a crown to completely cover your tooth and improve the look of your smile. Dental crowns can cover stains or discoloration, as well as close gaps or spaces between your teeth. If your teeth need to be reshaped or resized, we can use dental crowns to give you a more seamless look. Your new dental crown can be shaded to match your other teeth so that only you and your dentist in Winston-Salem will know the difference.

Natural, Beautiful Dentistry in Winston-Salem

In these pictures, we used esthetic dental crowns to remove a stained margin along the gumline.

Related Services:

Dental Crowns
Cosmetic Dentistry
I was Very Impressed and Would Not Hesitate to Recommend Dr. Nelson

I had a new crown go bad and I needed to have an urgent second opinion.Dr Nelson had the perfect balance of caring and decisiveness to help resolve this!
I was very impressed and would not hesitate to recommend him. His staff was also amazing!!
Thank you!!

- Tonya Couch

Ready to book an appointment?
If you have difficulty using our website, please email us or call us at (336) 760-1277
View the ADA Accessibility Statement