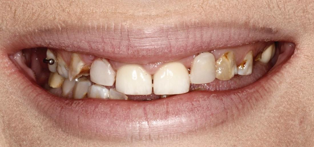
This patient was unhappy with their smile and oral health profile. So, our Winston-Salem dentist presented all the options, and the patient decided on complete dentures. Now, this patient can smile with confidence again!
Our dental office is pleased to offer quality dentures and partials (emphasizing fit, function, and aesthetics) to help our patients rediscover their smiles.
Denture options include:
- Complete dentures
- Partial dentures
- Implant-supported dentures
Are You Considering Dentures in Winston-Salem, NC?
To learn more about our tooth replacement options, including custom dentures, contact a friendly dental team member today to schedule a consultation with the dentist.
I had a new crown go bad and I needed to have an urgent second opinion.Dr Nelson had the perfect balance of caring and decisiveness to help resolve this!
I was very impressed and would not hesitate to recommend him. His staff was also amazing!!
Thank you!!
- Tonya Couch
 
 
